Smile Makeover Charlotte, NC
Artistic Smile Transformations
- Individualized smile design by our two expert cosmetic dentists
- Smiles designed to fit your face
- Free virtual consults through the Smile Virtual app
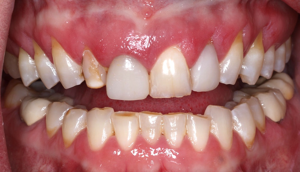
Image: Maribeth, Real Patient

Image: Maribeth, Real Patient
Transformational Cosmetic Dentistry Why Charlotte Chooses Us for Smile Makeovers
We know how much your smile means to you, which is why your smile makeover will be completely personalized by an experienced cosmetic dentist in Charlotte, NC. Your care plan will be crafted by two highly trained dentists who collaborate closely on each case. At our Charlotte dental office, you’ve found partners to help you reach your unique goals.
Collaborative Expertise: Drs. Micheal and Kelly Wilson bring a blend of surgical skill and cosmetic artistry to deliver the most precise and natural-looking results.
Deep Training & Continuing Ed: Our cosmetic dentists complete hundreds of hours of continuing education every year to stay ahead of evolving techniques.
Modern, Boutique Setting: Our non-corporate practice is outfitted with advanced technology, including same-day crown capabilities and digital treatment planning.
True Personalization: We don’t do cookie-cutter smile makeovers. Every treatment plan we design is fully tailored to the patient’s aesthetic goals, oral health, and lifestyle.

Meet Your Dentists Two Cosmetic Providers With a Shared Vision
When you choose SouthView Cosmetic Dentistry, your smile is in the hands of two highly skilled and deeply compassionate providers: Dr. Micheal Wilson and Dr. Kelly Wilson. Our husband-and-wife team’s dynamic creates a level of communication and collaboration few practices can match.
Dr. Micheal Wilson
- Specializes in cosmetic, implant, and surgical dentistry
- Trained under an oral surgeon for six years before opening our practice as well as the Spear Institute
- Is known for his hands-on, patient-first approach
Dr. Kelly Wilson
- Focuses on Invisalign®, myofunctional therapy, and cosmetic dentistry in Charlotte, NC.
- Trained at the Spear Institute and is an Ambassador of The Breathe Institute
- Brings an artistic eye and gentle touch to every treatment
Start your transformation with a team that sees the full picture, just like you do. Book your free virtual consult today.

“Dr. Kelly and Dr. Micheal are the best. Definitely the dentist you want to go to. I’ve been a patient for 5+ years and wouldn’t dream of going anywhere else. They take such great care of you and have state of the art dental technology.” — Kalli, 5-Star Review
Smile Makeover Options Treatments That Work in Harmony
Veneers
SouthView Cosmetic Dentistry in Charlotte offers traditional and no-prep veneers to conceal chips, discoloration, gaps, and minor misalignment. For small cases, we may craft veneers in-house. For larger cases, we partner with top-tier labs to ensure a perfect aesthetic result.
Dental Crowns
We create stunning, durable crowns that restore strength and appearance in one appointment using our CEREC® machine. Our crowns are ideal for teeth that have been compromised by decay or wear but still have strong roots.
Invisalign
Led by Dr. Kelly, Invisalign treatment includes myofunctional screening to address the root cause of your dental misalignment. Clear aligners are comfortable, discreet, and tailored to your needs.
Professional Whitening
Our cosmetic dentists offer custom take-home options for whitening that’s safe, effective, and evenly distributed. Our professional teeth whitening services outperform over-the-counter products and offer longer-lasting results.

Complete Your Smile With Implants
Are you missing a tooth or even several teeth? Dr. Micheal can perform full dental implant placement and restoration under one roof. Dental implants are frequently part of a smile makeover.
Maribeths's Smile Makeover Crowns, Veneers, Crown Lengthening & Implant Placement
Maribeth came to SouthView Cosmetic Dentistry wanting to perfect her smile. Her smile makeover plan included a combination of veneers, crowns, a gum lift, and braces.
See what a difference cosmetic treatment made for Maribeth’s smile in the after photo: her teeth are a brilliant white and perfectly shaped in symmetrical proportion, all with a natural finish.
Our Charlotte dentists are experts at combining function, aesthetics, and advanced techniques into one seamless result. If you’re interested in seeing results like these for yourself, start your free virtual consult today.



What to Expect Your Smile Makeover Timeline
Day of Procedure
FAQ About Smile Makeovers in Charlotte, NC
How long does a smile makeover take?
Most smile makeovers take 2–6 months from consultation to completion, but it depends on the number and type of treatments in your plan. Some treatments (like Invisalign) may extend longer.
Is a smile makeover just for looks?
No, we always plan for both function and aesthetics. Properly aligned and restored teeth are easier to clean, longer lasting, and better for overall health.
How do I start the smile makeover process?
You can request an in-office visit or start with a free virtual consult via the Smile Virtual app! We’ll send a personalized video with our recommendations.
Does insurance cover any part of a smile makeover?
Insurance typically won’t cover cosmetic dentistry procedures like veneers or whitening, but may apply to crowns or medically necessary procedures. We’ll help you maximize any benefits.
Do smile makeovers hurt?
Most procedures are minimally invasive and comfortably performed with a local anesthetic. We also offer sedation dentistry in Charlotte, NC, for patients who feel anxious.

“Both Dr. Micheal and Dr. Kelly are fantastic! They make you feel comfortable, explain everything in great detail, and the hygienists are next level. The whole team is friendly and professional - I always feel well taken care of here!” — Brandi, 5-Star Review

