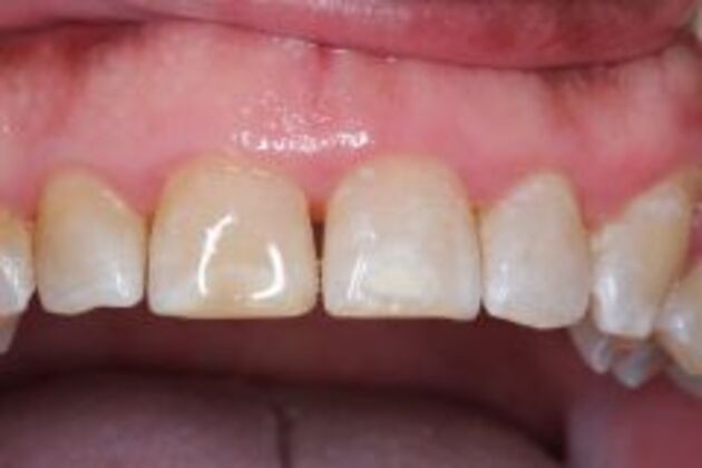
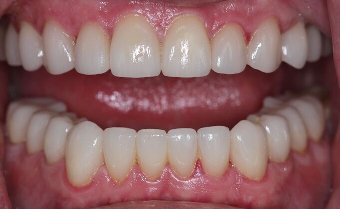
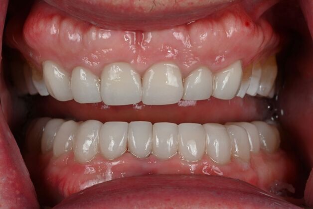
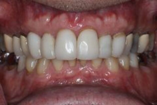
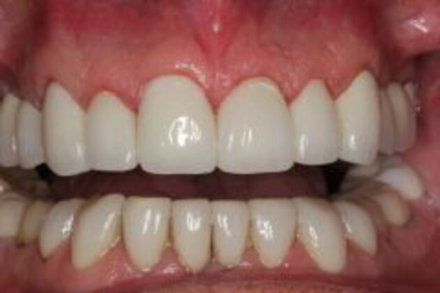
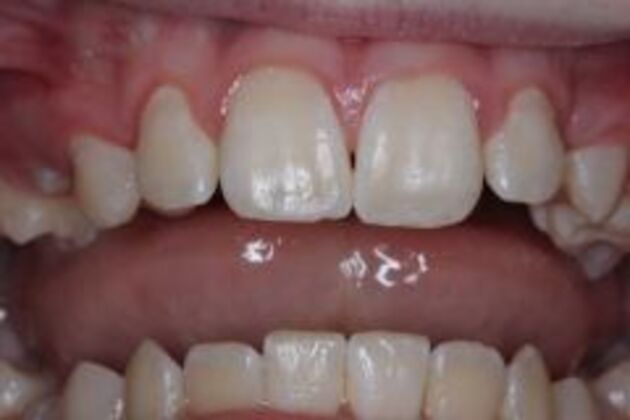
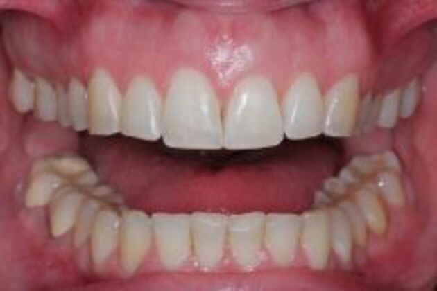
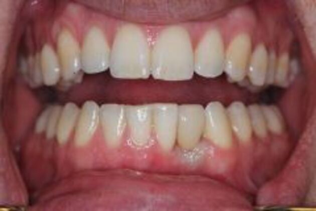
Welcome to SouthView Cosmetic Dentistry in Charlotte, NC, a practice led by the husband-wife team of Dr. Micheal Wilson and Dr. Kelly Wilson. We provide comprehensive dental care that helps patients look and feel their best. We offer a wide range of services, including:
To join our dental family and experience our elite dental care, request an appointment online or call us at: (704) 333-4760.
