Same-Day Crowns Charlotte, NC
Instant Transformations
- Stunning Crowns Made in an Hour
- A Team of Cosmetic Dentists on Your Case
- 600+ 5-Star Google Reviews
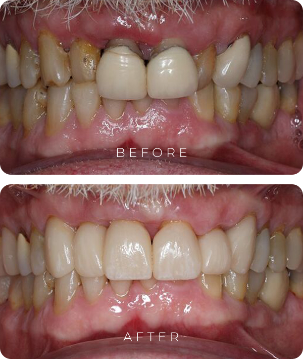
Image: David, Real Patient


Fast Care, Stunning Results
CEREC Technology
Traditional crowns can take weeks to be completed. Drs. Micheal Wilson and Kelly Wilson can create your crown in a single appointment using state-of-the-art CEREC® technology. This in-office milling unit designs and creates lifelike dental crowns out of premium-grade porcelain in as little as an hour, so you can return to your day with a solution that lasts.
Cosmetic Dentists
Our husband-and-wife team collaborates on every case so you can benefit from a wealth of knowledge contributing to your crown results. With a focus on cosmetics, you can rest assured you’ll receive a beautiful, seamless outcome.
Functional Results
Our dentists take special care to ensure your final results are beautiful as well as functional. Our dentists will ensure your crown harmonizes with your bite so it won’t cause problems.
Let Crowns Transform Your Smile
This patient came to our Charlotte dental office with tooth decay, discoloration, and old crowns that needed to be replaced. We created a comprehensive treatment plan to reconstruct his smile, including creating in-office crowns once we addressed underlying oral health concerns.

Smile Today Skip the Wait
- We offer same-day crowns so we can repair a tooth in a single visit. Simply sit back, relax, and let our dentist get to work. You’ll leave our office with a beautifully restored smile.
- If you’re missing a tooth, you could be a candidate for an implant-supported crown. Dr. Micheal can perform every step of your implant surgery right here in our Charlotte dental office. Implant placement is a months-long process, but it’s worth the result.
- Nervous about dental care? We offer sedation so it’s easier to relax during your appointment.
- Each of our patients receives personal care and attention from our entire team. Treatment plans are tailored to your needs, and we keep care comfortable with massaging chairs and flat-screen TVs.
- You can write to us or call to request a consultation at our Charlotte office.
Treatment Costs
At SouthView Cosmetic Dentistry, traditional crowns cost $1,300-$1,600, and implant-supported crowns (including the extraction, bone grafting, implant surgery, and restoration) cost $5,000-$7,000. Your total cost will depend on the complexity of your case and the materials that go into your crown. Treatment costs can be made more manageable with:
- Dental Insurance: Your insurance plan may help cover your crown and any preparatory care you need. However, your insurance may not cover dental implants. We’ll file your claims on your behalf to help maximize your coverage.
- Medical Insurance: Our office is unique in that we accept both dental and medical insurance. In some cases, your medical insurance may contribute to your care. Our financial associates will explore this option to see if it applies to your case.
- Financing: If you’re uninsured or have out-of-pocket costs, you can pay in affordable monthly installments with CareCredit®. Our financial associates can help you apply for an interest-free financing plan.
- SouthView Discount Plan: Sign up for our $75/year membership and benefit from a reduced fee schedule that averages a 25%-30% reduction in fees. Cash discounts are also available.
- Prepayment Plan: You can make payments before your procedure to keep the cost of your care within your budget.
We have a team of financial associates who will meet with you at the end of your visit to discuss your treatment plan and costs.
Receiving an Implant? The Process Looks a Little Different
If you’re receiving an implant-supported crown to replace a missing tooth, your treatment will look different. Before we can create your crown, you’ll have to undergo procedures like:
Tooth Extraction: If you have a broken or decayed tooth, it will have to be extracted.
Bone Grafting: In certain cases, we have to reinforce the jawbone before we can securely place an implant.
Dental Implant Surgery: Dr. Micheal can place your dental implant and secure your crown.
This process can take about three to six months, but the end result will be a brand-new smile that allows you to chew, speak, and eat with confidence.



FAQ About Same-Day Crowns in Charlotte, NC

“I have had great service from Southview Dentistry. Recently, I had a crown replacement with Dr. Kelly and everything went very smoothly. I appreciate the technology available at the practice and the professionalism of everyone.” — Stan Patterson
How long do crowns last?
With proper care, your crown can last 10-15 years or more, just like a traditional crown. Our same-day crowns are made from high-quality ceramic material that is durable and long-lasting. Keep up with your at-home oral hygiene routine and attend routine checkups at our Charlotte office to prolong your crown’s lifespan.
Am I a candidate for a crown?
Candidates include patients who have a cracked or broken tooth, need to replace a large filling, have severe tooth decay, need root canal treatment, or want to improve the appearance of a tooth. Your Charlotte dentist will examine your teeth and determine if a same-day crown is the right solution for you.
Do same-day crowns look natural?
Absolutely. Our same-day dental crowns are custom-colored to match your surrounding teeth. The shape will also blend in with your natural teeth. Porcelain reflects light like natural enamel, giving you a seamless, beautiful smile.