Dr. Kelly Wilson and Dr. Micheal Wilson

SouthView  Cosmetic Dentistry

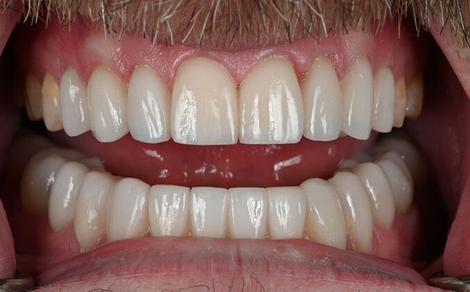
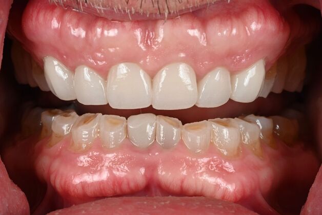
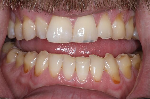
Welcome to SouthView Cosmetic Dentistry in Charlotte, NC, a practice led by the husband-wife team of Dr. Micheal Wilson and Dr. Kelly Wilson. We provide comprehensive dental care that helps patients look and feel their best. We offer a wide range of services, including:

  • Cosmetic Dentistry
  • Dental Implants
  • Veneers
  • Invisalign

To join our dental family and experience our elite dental care, request an appointment online or call us at: (704) 333-4760.

Contact Us

Fields With Are Required
You can also call us at 704-333-4760. This site is protected by reCAPTCHA and the Google Privacy Policy and Terms of Service apply.

Rate, Review & Explore

Social Accounts Sprite